اگر دندان های نامرتب و بهم ریخته دارید و نمی خواهید برای مدت طولانی از بریس ها و سیم های ارتودنسی استفاده کنید یک جایگزین مناسب برای شما وجود دارد و آن ارتودنسی سریع است.
دسترسی سریع
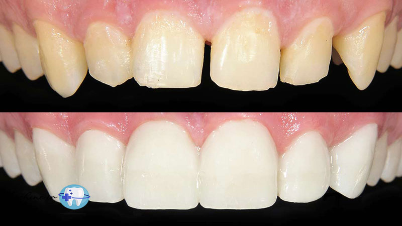
ارتودنسی سریع یک روش درمانی است که به وسیله آن می توان دندان ها را صاف و ناهنجاری ها را در طی مدت چند دقیقه تا چند روز اصلاح کرد. در این روش درمانی از روکش، باندینگ، ونیر سرامیکی و بریج دندان برای اصلاح دندان ها استفاده می شود.

سریعترین ارتودنسی مزایای بسیار متعددی دارد. ونیرهای سرامیکی (پرسلن) بهعنوان بخشی از درمان ارتودنسی سریع، میتواند نتیجه فوری موردنظر را برای ما فراهم سازند.در اینجا فقط به چند دلیلی که بیماران ما ارتودنسی سریع را انتخاب مینمایند، اشاره خواهد شد:
عوارض ارتودنسی سریع دندان نادر است. در برخی از افراد پس از درمان ممکن است عفونت ایجاد شود که با مصرف آنتیبیوتیک درمان می شود.

ارتودنسی سریع برای هر شخصی مناسب نیست. برخی از افراد برای اصلاح مشکلاتشان نیازمند، استفاده از بریس های ارتودنسی و یا ابزارهای اصلاح کنند فرم و موقعیت دندانها میباشند. تنها راه تشخیص مناسب بودن و یا نبودن روش ارتودنسی سریع این است که به یک دندانپزشک مراجعه نمایید. او به تمام سؤالات شما در خصوص ارتودنسی سریع پاسخ خواهد داد و بهبه شما کمک میکند تا مناسبترین گزینه درمانی را انتخاب نمایید.برای به دست آوردن نتایج مطلوب و طولانیمدت در افراد مبتلابه اوربایت شدید، اندربایت و یا کراس بایت، ممکن است هنوز نیاز به خدمات تخصصی یک متخصص ارتودنسی باشد.
چندین تکنیک مختلف برای ارتودنسی سریع در نظر گرفته میشود. برخی از آنها عبارتاند از: ونیرهای سرامیکی یا پرسلن، پرسلن اینله و انله، روکشهای دندانی و باندینگ های دندانی.
ونیرهای پرسلن یا سرامیکی شایع ترین نوع درمان ارتودنسی سریع است که در آن پوسته های نازکی از جنس پرسلن به دندان متصل می شود و به بهبود ظاهر لبخند شما کمک میکند. ونیر های سرامیکی میتوانند بسیاری از مشکلات دندانی را اصلاح نمایند، ازجمله:

بهمنظور بهبود طرح لبخند در مقیاس کوچکتر نسبت به ونیرهای پرسلن، میتوان از سرامیکهای انله، اینله و روکشهای دندانی استفاده نمود. ونیر های پرسلن را میتوان در همه دندانها و یا فقط ردیف بالا و یا پایین استفاده نمود. پرسلن انله، اینله و روکشهای دندانی برای ترمیم چند دندان در یکزمان استفاده میشود و بهطور عمده برای مواردی همچون: تقویت دندانهای ضعیف، ترکخورده، یا دندانهای پوسیده بکار میروند. آنها میتوانند به بهبود طرح لبخند کمک نمایند، اگر به علت ضعیف شدن دندانها و تغییر موقعیت آنها، ظاهر لبخند دچار خدشه گردد، آنها میتوانند از این موضوع جلوگیری به عمل آورند سریعترین نوع ارتودنسی یک راهحل دائمی برای دندانهای کج شده محسوب میشود. بعد از حذف بریس های سنتی ارتودنسی ممکن است دندانها تمایل به تغییر داشته باشند، اما در سریعترین روش ارتودنسی تقریباً دیگر تغییری مشاهده نخواهد شد. پس از بازسازی و قرارگیری آنها، میتوانند برای چندین سال صاف و زیبا در دهان شما استقرار داشته باشند.
روکش دندانی نوعی از پر کردن دندان محسوب میشود که بهطور کامل روی دندان را پوشش میدهد و یا در دور یک دندان و یا ایمپلنت دندانی قرار میگیرد. اغلب زمانی از آن استفاده میشود که یک پوسیدگی زیادی سلامت دندان را تهدید نماید، آنها معمولاً توسط چسب و یا سیمانهای دندانی به دندان متصل میگردند. معمولاً میتوان روکشها را از جنسهای مختلفی ساخت. از روکشها اغلب بهمنظور افزایش مقاومتهای دندانی و یا بهبود ظاهر دندانها استفاده میشود. درحالیکه روکشها از جهت زیبایی و سلامت دهان و دندان مفید هستند، اما فرایند و مواد آنها میتواند نسبتاً گران باشد.
باندینگ نیاز به آماده سازی خاصی ندارد و به دو دسته تقسیم می شوند: باندینگ کامپوزیت مستقیم و باندینگ چسبنده

بهمنظور به حداکثر رساندن عمر درمان سریع ارتودنسی و جلوگیری از عوارض جانبی، رعایت بهداشت دهان و دندان بسیار ضروری است. گذشته از شستشو و تمیز کردن معمول دندانها، مراجعه منظم به دندانپزشک از اهمیت بالایی برخوردار است. شما باید مطمئن شوید که بهطور منظم موارد زیر را رعایت میکنید:
هزینه درمان ارتودنسی به میزان ترمیم و تعداد دندانهای درگیر بستگی دارد. ارتودنسی سریع دندان به معنای بهرهگیری از ونیرهای پرسلن در دندانهای جلو، در ردیفهای بالا و پایین میباشد و معمولاً هزینه هر دندان بهصورت جداگانه محاسبه میگردد. بسته به محلی که زندگی میکنید، مهارت و تجربه پزشک و مواد دندانی استفاده شده، هزینهها میتواند متفاوت باشد.